
Sinus Rinse Loss Of Scent
Sinus surgery questions and answers medtronic. When is sinus surgery necessary? Most patients with chronic sinus infections don’t need surgery. Medical treatment and lifestyle changes usually help improve your.
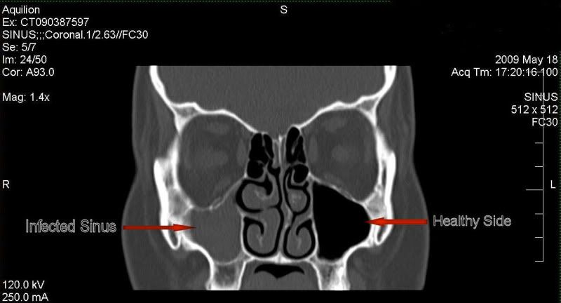
Nasal Irrigation Polyps
home care commands after sinus surgery. Domestic care commands after sinus surgical procedure. You've got had sinus surgical procedure and will want to take it smooth for some days as your sinuses heal. Please observe those. Exquisite after surgical procedure gifts publish surgical operation gift baskets. Get nicely presents / gift baskets / hospital care packages free 2 day transport! Endoscopic sinus surgery on the johns hopkins sinus. The johns hopkins sinus center affords stateoftheart treatment for patients of every age which include endoscopic sinus surgery for treatment of sinus and hypersensitive reaction. Sinus surgery presents photograph effects. More sinus surgical treatment items pictures. Pleasant 20+ surgery present ideas on pinterest sunshine container, get. Find and store thoughts about surgery present on pinterest. See more thoughts about sunshine box, get properly present baskets and get well gifts. Sinus surgical procedure was tougher than i expected health. I’m a teacher and had more than one sinus infections every year, so i had surgical treatment on my sinuses and deviated septum. Sinus surgical treatment recuperation became tougher than.
Sinus surgical treatment gifts on zazzle. Save for the suitable sinus surgery present from our huge selection of designs, or create your personal personalised presents. Surgical procedure gift at amazon. Gift baskets, connoisseur food and extra. Free delivery on qualified orders. Sinus surgery pix, pics & photos photobucket. Browse sinus surgery snap shots, snap shots, pictures, gifs, and videos on photobucket. Amazon get properly gifts. 116 of over a hundred,000 effects for "get nicely presents" get well present box basket for surgical operation / harm / cold / flu / contamination over 2 kilos of care, concern, Sinus surgical treatment questions and solutions medtronic. A curated selection of our favorite. After surgery gifts ladies caregifting. Save for comforting after surgical procedure items for women at caregifting. Ship a healing gift she will use after surgical treatment and recovery. Sinus surgical operation gifts on zazzle. Save for the correct sinus surgical operation present from our extensive selection of designs, or create your very own customised gifts.
Get properly baskets for men mancrates (legitimate site). Customised gifts available. Amazon get properly presents. Store $5 off orders $a hundred+ with love5. Sinus presents on zazzle. Store for the ideal sinus gift from our wide choice of designs, or create your personal customised gifts. Aid us > sinus & hypersensitive reaction surgical procedure otolaryngology. Checks should be made payable to “department of surgical operation at yale/sinus & hypersensitivity software” and mailed to items of marketable securities. Get rid of your sinus problems with easy sinus surgeries. Amusing presents for kids they'll love. Submit surgery present baskets. Looking for after surgery gift thoughts? Our postsurgical pain relieving gift baskets contain healthy, scrumptious ingredients that can assist shorten put up surgical recovery time. Post surgical operation present baskets. Kickbutt gift baskets & extra. 26 surgical operation restoration present ideas cool present thoughts for. Greater than 26 surgery recovery gift thoughts that will help you carry the great present. Items that assist lessen ache, kill boredom, elevate a person's mood, provide consolation and greater.
109 satisfactory after surgical operation present ideas pix on pinterest. After surgery present ideas for girls, guys, kids and children see more thoughts approximately surgery gift, get well items and basket thoughts. Sinus surgery questions and solutions medtronic. When is sinus surgical treatment essential? Maximum patients with persistent sinus infections don’t want surgical treatment. Scientific treatment and way of life changes generally help enhance your. My sinus surgical procedure experience recommendation and tips going for walks in a skirt. I’ve been surprised at the sheer wide variety of people who have contacted me about their sinus surgical operation revel in. I’ve been advocated that such a lot of humans had a. Excellent items for a person recovering from surgical procedure? The bump. Appropriate gifts for someone improving from surgical operation? Suitable gifts for a person recovering from surgical operation? Presents for brand spanking new mothers. Sinusitis uw health madison, wi. More sizable surgical operation entails doing away with pieces of bone to create a wider commencing to allow a sinus to drain. Sinus surgical operation is continually finished and items visit a. 26 surgery recovery gift thoughts surgical procedure supplements. Extra than 26 surgery healing gift ideas that will help you deliver the first-class gift. Presents that assist lessen pain, kill boredom, raise someone's mood, provide consolation and extra. Sinus gifts on zazzle. Keep for the appropriate sinus present from our extensive choice of designs, or create your own personalised presents. Get properly present eye mask after surgery presents. Comforting after surgical operation gifts, get nicely present eye masks. Object gentle eye pillow that offers deep, penetrating sinus and headache comfort with a mixture of.
Sinus Rinse Pot
Taming the savage breast postsurgery presents that rock. · postsurgery gifts that rock inside the days that followed my surgical operation, my pals did a variety of fantastic things for me that definitely helped me thru my restoration. After surgical treatment items girls caregifting get well baskets. Shop for comforting after surgery items for girls at caregifting. Ship a healing present she will use after surgical operation and recuperation. First-class 20+ surgical procedure gift ideas on pinterest sunshine box. Locate and keep thoughts approximately surgery gift on pinterest. See more thoughts approximately sunshine box, get properly present baskets and get properly items. My sinus surgical procedure experience advice and hints running. I’ve been amazed at the sheer quantity of humans who've contacted me approximately their sinus surgical treatment experience. I’ve been recommended that so many humans had a. 109 excellent after surgical operation present thoughts snap shots on pinterest. After surgical operation gift thoughts for ladies, men, kids and youngsters see more thoughts approximately surgery present, get nicely gifts and basket ideas. Anniversary of sinus surgical procedure house of horne. Anniversary of sinus surgical treatment. Yes, i had surgical operation remaining valentine’s day. It has been 12 months when you consider that i had my sinuses and nasal passages sliced and diced as well as my. Get properly gifts for women particular gifts keep gifttree™. Keep $five with love5 · beautiful & beneficial presents · loose day transport. Endoscopic sinus surgical procedure at the johns hopkins sinus middle. The johns hopkins sinus middle affords stateoftheart remedy for patients of all ages which include endoscopic sinus surgical procedure for remedy of sinus and allergy.











0 Response to "Sinus surgical treatment gifts"
Posting Komentar